Você dedicou meses, talvez anos, ao tratamento ortodôntico. Seus dentes, antes tortos ou desalinhados, agora estão perfeitamente alinhados e você tem o sorriso que sempre sonhou. Porém, o trabalho não acaba aí. Após remover o aparelho, entra em cena um elemento crucial para manter seu sorriso perfeito: a contenção ortodôntica. Mas o que é isso e por que é tão importante? Vamos explicar!
O que é a contenção ortodôntica?
Após o tratamento ortodôntico, os dentes alcançaram sua posição ideal, mas eles precisam de um “período de ajuste” para se estabilizarem nesse novo lugar. Aqui é onde a contenção entra.
A contenção é um dispositivo usado para manter os dentes em sua nova posição após a remoção do aparelho. Alguns trabalhos científicos mostram que nossos dentes podem se movimentar por toda nossa vida, mesmo em pacientes que nunca usaram aparelho ortodôntico. Ela pode ser fixa ou removível, e a melhor forma de escolher é seguindo a orientação de seu ortodontista.
Tipos de contenções
- Contenção Removível: normalmente é feita de plástico transparente ou acrílico com um fio de metal. Lembra muito um aparelho móvel e geralmente é usada à noite.
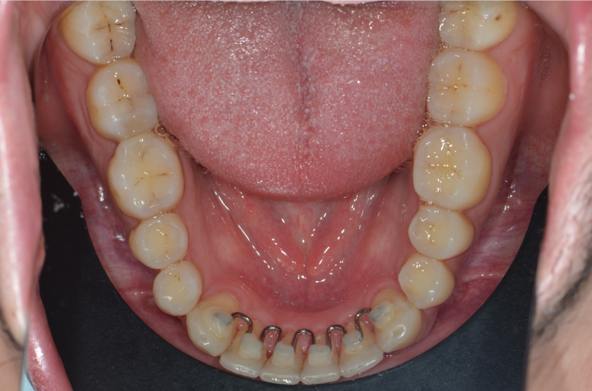
- Contenção Fixa: é um fio fino colado na parte de trás dos dentes, geralmente nos dentes inferiores da frente. A vantagem é que está sempre em ação, mas exige uma higienização mais cuidadosa.
Por que usar contenções?
A fase de contenção é essencial para garantir que todo o esforço e tempo investidos no tratamento ortodôntico não sejam em vão. Os tecidos ao redor dos dentes, como os ligamentos e o osso alveolar, precisam de tempo para se adaptar à nova posição dos dentes. Sem a contenção, os dentes podem voltar a se deslocar, anulando os benefícios do tratamento ortodôntico.
Quanto tempo preciso usar a contenção?
A duração recomendada varia para cada paciente, sendo determinada pelo ortodontista. Alguns pacientes podem precisar usar a contenção removível apenas à noite por anos e na maioria das vezes, se recomenda utilizar por toda a vida. As contenções fixas, por outro lado, podem permanecer nos dentes por vários anos.
A importância das visitas periódicas ao dentista
Mesmo na fase de contenção, é fundamental continuar visitando o ortodontista periodicamente. Essas consultas permitem que o profissional monitore a estabilidade dos dentes e garanta que a contenção está funcionando corretamente. Além disso, visitas regulares ajudam na detecção precoce de possíveis problemas, garantindo que seu sorriso permaneça saudável e esteticamente agradável.
Lembre-se: a fase de contenção é uma extensão do tratamento ortodôntico, e a supervisão profissional é crucial para manter os resultados alcançados.
Cuidados com a contenção
Assim como com o aparelho, é fundamental cuidar bem da contenção:
- Limpeza: se for removível, deve ser limpa regularmente para evitar o acúmulo de placa. Se for fixa, é preciso escovar cuidadosamente a região onde está fixada.
- Uso correto: se o ortodontista recomendar que você use a contenção durante a noite, faça isso! Não seguir as orientações pode comprometer os resultados.
Conclusão
A contenção ortodôntica é a garantia de que seu novo sorriso permanecerá alinhado e bonito por muito tempo. Nunca subestime sua importância, siga à risca as recomendações do seu ortodontista e continue suas visitas regulares ao consultório. Assim, você garantirá que o investimento de tempo e esforço no tratamento ortodôntico valham a pena!

